Tuberkulose - Tuberkulose 5 Fragen Zu Ansteckung Anzeichen Therapie Minimed At
Ihre Symptome sind wenig kennzeichnend. Lesen Sie hier was Tuberkulose genau ist wie man sich.

Tuberkulose 5 Fragen Zu Ansteckung Anzeichen Therapie Minimed At
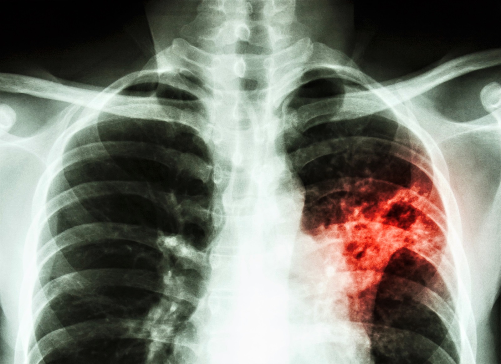
Die Tuberkulose ist eine weltweit verbreitete bakterielle Infektionskrankheit.

Tuberkulose. Tuberculosis TB is the worlds top infectious killer. La tuberculose est une maladie due à un bacille mycobactérie du complexe tuberculosis qui atteint le. 68 KB C M Hostetler MD Goshen IN 8164862850jpg 347 590.
Tuberkulose Tbc zähl weltweit zu den zehn häufigsten Todesursachen. Patient in the Almerica hospital after she had become much better with the doll which came in one of the bundles of clothing. Tuberculosis is a dangerous bacterial infection that attacks your lungs.
Tuberkulose tuberculose tuberculosis tuberkulosis. La tuberculose est une maladie qui évolue en plusieurs étapes. Die Pandemie allerdings hat viele positive Entwicklungen zunichtwe gemacht.
Après l incubation la primo-infection tuberculeuse passe le plus souvent inaperçue ou se manifeste parfois par un peu de fièvre et une fatigue passagère. In den meisten Fällen bricht die Krankheit jedoch nicht aus. Après un contact avec le bacille tuberculeux un tiers des personnes exposées au BK développent une primo-infection tuberculeuse.
Tuberkulose tuberculose tuberkulosis dietculture. Elle est sous la surveillance de Santé publique France. When people with lung TB cough sneeze or spit they propel TB germs into the air.
The bacteria usually attack the lungs but TB bacteria can attack any part of the body such as the kidney spine and brain. It is often treatable. La tuberculose est une maladie infectieuse due à une bactérie appelée bacille de Koch ou BK.
Explore the latest videos from hashtags. Learn more about how its spread whos at risk symptoms treatment and prevention. Auch in Deutschland ist Tuberkulose noch nicht besiegt.
Grund seien etwa Lockdowns und Ausgangsbeschränkungen. Bundesarchiv Bild 183-M0926-0009 Infografik Erfolge der DDR bei der Bekämpfung der Tuberkulosejpg 504 700. Aber auch andere Organe können von den Tuberkulose-Bakterien befallen werden.
TB is contagious and airborne. Watch popular content from the following creators. Latent TB infection LTBI.
Nearly 4500 people lose their lives and 30 000 people fall ill with TB each day. Die Zahl der diagnostizierten Fälle ging im vergangenen Jahr stark zurück. Discover short videos related to Die Tuberkulose on TikTok.
Après la pénétration du bacille de Koch dans lorganisme la période d incubation sans symptômes est de 1 à 3 mois. Vitamin D deficiency is associated with the risk of tuberculosis TB infection 1 2Vitamin D deficient individuals have a greater susceptibility to developing TB and worse disease progression if infected with TB 4 5The likely mechanism through which vitamin D may prevent or limit infection by Mycobacterium Tuberculosis is through the binding of the bioactive form of vitamin D 125. Ensuite le bacille de Koch est présent dans lorganisme pendant plusieurs mois voire plusieurs années.
88 KB Caption- Josephine - the T. Eine Ansteckung führt aber nicht automatisch zur. Es gab Fortschritte im Kampf gegen die Infektionskrankheit Tuberkulose die unbehandelt zum Tod führen kann.
Die Corona-Pandemie war und ist eine Belastungsprobe für Gesundheitsdienste weltweit. TB typically affects the lungs but it can also. Discover short videos related to Tuberkulose on TikTok.
Die Erkrankung wird durch verschiedene Arten von Mykobakterien verursacht und befällt beim Menschen als Lungentuberkulose am häufigsten die Lunge bei Immundefekt zeigt sich vermehrt auch ein Befall außerhalb der Lunge. Die Erreger können aber auch andere Organe wie den Darm oder die Knochen befallen. Santé publique France publie les données annuelles de surveillance de la tuberculose en France.
As a result two TB-related conditions exist. Tuberkulose TBC oder TB ist eine Infektionskrankheit die meist die Lunge betrifft. Nick Riversdrnickrivers Baconboi3456darebear555 Frank Dukecheb1776.
It is caused by bacteria Mycobacterium tuberculosis that most often affect the lungs. Aucun changement notable nest observé en 2019 par rapport à lannée précédente. Tuberculosis TB is a bacterial infection spread through inhaling tiny droplets from the coughs or sneezes of an infected person.
Tuberculosis TB is a bacterial disease that spreads through droplets in the air and mainly affects the lungs. Watch popular content from the following creators. Tuberculosis TB is a contagious disease caused by infection with Mycobacterium tuberculosis Mtb bacteria.
In Deutschland ging die Zahl der Tuberkulose-Fälle in den letzten Jahrzehnten stetig zurück. TB is spread from person to person through the air. La tuberculose est une maladie à transmission respiratoire qui atteint les poumons et parfois dautres organes.
Tuberkulose wird durch Bakterien ausgelöstDie Erreger befallen überwiegend die Lunge und lösen als erstes Zeichen unter anderem Husten aus können aber auch fast jedes andere Organ betreffen und schwere Erkrankungen auslösen. Leoniesrleonie Rose Fält-hansenroseflthansen Dr. Tuberculose en France.
Tuberkulose TB ist eine schwere Infektionskrankheit die von Bakterien verursacht wird. Die Erreger werden meist durch Tröpfchen in der Atemluft die eingeatmet werden übertragen. Explore the latest videos from hashtags.
It is spread through the air when a person with TB disease of the lungs or throat coughs speaks or sings and people nearby breathe in these bacteria and become infected. It mainly affects the lungs but it can affect any part of the body including the tummy abdomen glands bones and nervous system. Daher betrifft Tuberkulose in den meisten Fällen zuerst die Lunge.
Puis dans 90 des cas la bactérie reste au repos dans lorganisme. Tuberculosis TB is caused by a bacterium called Mycobacterium tuberculosis. Nick Riversdrnickrivers Bex bikerbex André Nilsenandrenilsen420.
Not everyone infected with TB bacteria becomes sick. Übertragen werden die Erreger meist durch Tröpfchen in der Atemluft. Das wirkt sich laut der Weltgesundheitsorganisation WHO auf den Kampf gegen Tuberkulose aus.
Tuberkulose Forscher Arbeiten An Impfstoffen Gegen Tbc Gesundheit Sz De

Anatomische Untersuchungen Uber Die Tuberkulose Der Oberen Luftwege Die Tuberkulose Und Ihre Grenzgebiete In Einzeldarstellungen 3 German Edition 9783642889431 Medicine Health Science Books Amazon Com

Tuberkulose Er Fortsatt Den Infeksjonssykdommen Som Tar Flest Liv Lhl Internasjonal

Tuberkulose Schwindsucht Symptome Verlauf Und Behandlung

Vi Har Stadig Tuberkulose Tb I Danmark

Weltgesundheitsorganisation Mehr Tuberkulose Tote Durch Corona Tagesschau De

Wenn Tuberkulose Sich Im Korper Ausbreitet

Wird Die Latente Tuberkulose Aktiv So Wird Es Berechnet

Tuberkulose Die Weisse Pest Kommt Zuruck Mdr De

Tuberkulose Haufigkeit Symptome Behandlung Gesund Bund De

Pulmonale Immunitat Bei Tuberkulose Innere Medizin Georg Thieme Verlag

Die Tuberkulose 9783957385963 Louis Waldenburg Boeken Bol Com

Tuberkulose In Osteuropa Nationaler Notstand Taz De

Tuberkulose In Deutschland Wieder Relevant Landesarztekammer Hessen

Tuberkulose Tbc Ansteckung Symptome Therapie Netdoktor

Bol Com Tuberkulose Und Menschenversuche Im Nationalsozialismus 9783515093996 Christine


